Invisalign

Case ID: 3572

Individual results may vary.
View Angle: front
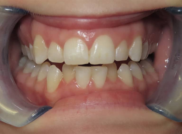
Before Image: Invisalign - front

Before

After Image: Invisalign - front

After

View Angle: front
Before Image: Invisalign - front

Before

After Image: Invisalign - front

After

Other Invisalign Patients

Get in Touch

* All indicated fields must be completed.
Please include non-medical questions and correspondence only.

Office Hours

Monday to Friday: 9:00am - 5:00pm
Office hours are limited on the 1st Tuesday and 4th Thursday of every month.

Accessibility Toolbar